بهترین جراح شانه و بهترین ارتوپد

بخش بیماران (Patients Part)

جهت ورود به هر قسمت کلیک کنید

درد و راههای کنترل آن

Pain Control

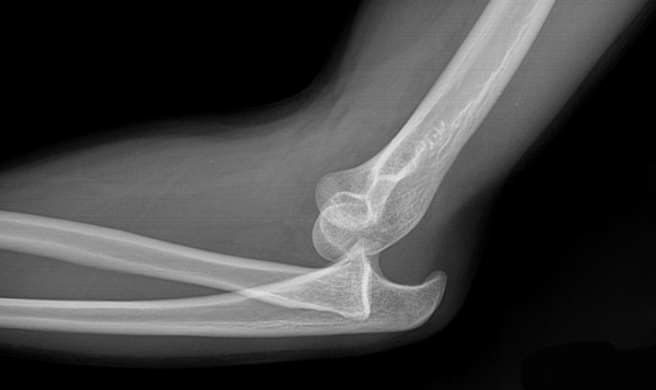
شکستگی ها

Fractures

دررفتگی ها

Dislocations

بیماری های مفصلی

Joint diseases

بیماری های بافت نرم و تاندون ها

Soft tissues & Ligaments

بیماری های اطفال

Pediateric diseases

بیماری های سالمندان

Senile

انواع مداخلات درمانی

Interventions

ورزش های مربوطه

Exercises

روش های پیشگیری

Prevention

تغذیه و سلامت

Nutrition & Health

مراقبت های پس از عمل

Post Operation Care

عکس های مرتبط

Photoes

فیلم های مرتبط

Videoes

پاسخ به سوالات رایج

Ordinary Questions

تنظیمات پوسته

نوار بالای سایت چیدمان سایت