- تاریخ درج : ۲۷ فروردین ۱۳۹۶
- تعداد بازدید: 121946
- نویسنده : دکتر محسن مردانی کیوی
-
الف) انگشتان اضافي Polydactyly

در اين ناهنجاري که چندان کمياب نيست يک انگشت و بندرت دو انگشت اضافي در قسمت بيروني پا به صورت زائـدهاي وجـود دارد که بايد از نظر زيبايي و راحتي در کفش پوشيدن ٬ به وسـيله عمل جراحي برداشته شود . پلی داکتیلی به معنای داشتن انگشت اضافی یا انگشتان اضافه در دست یکی از شایعترین ناهنجاری های مادرزادی دست است و از هر 500 تولد در یک نفر وجود دارد و میتواند به اشکال متعددی ظاهر شود:
- یک برجستگی کوچک در کنار دست
- یک انگشت که در انتها پهن شده و دو ناخن دارد
- یک انگشت اضافه که با یک پایه نازک از کنار دست آویزان است
- یک دست با ظاهر معمولی با یک شست و پنج انگشت دیگر
- و بسیاری اشکال دیگر
پلی داکتیلی یا چند انگشتی میتواند به شکل های گوناگونی ایجاد شود. گاهی پلی داکتیلی همراه با سین داکتیلی یا به هم چسبیدن انگشتان است .از لحاظ مکانی انگشت اضافه بیشتر در طرف انگشت کوچک دست است ولی میتواند در طرف انگشت شست هم باشد. بندرت انگشت اضافه در بین انگشتان وسطی قرار گرفته است . انگشت اضافه ممکن است فقط یک پوست اضافه باشد. ممکن است استخوان هم داشته باشد. ممکن است یک بند و یا چند بند استخوانی داشته باشد و یا حتی ممکن است استخوان آن با استخوان های کف دست مفصل شود. گاهی اوقات هم یک انگشت در انتها دو شاخه شده و یه دو انگشت تبدیل میشود .

علت پلی داکتیلی یا چند انگشتی چیست؟
در زمان جنینی دست ابتدا به شکل یک پارو است و سپس در قسمت هایی از آن شکاف هایی ایجاد شده و انگشتان از هم جدا میشوند. گاهی اوقات انگشتان به درستی از هم جدا نمیشوند و نتیجه آن دستی است که دو یا چند انگشت آن به هم وصل است که به آن سین داکتیلی میگویند . گاهی هم بیش از چهار شکاف ایجاد شده و در نتیجه بیش از پنج انگشت درست میشود که به آن پلی داکتیلی میگویند. گاهی هم این دو اتفاق با هم میفتد . پلی داکتیلی یا چند انگشتی گاهی ارثی است ولی در اغلب موارد بطور خودبخود و بدون زمینه خانوادگی ایجاد میشود. گاهی اوقات تعدد انگشتان دست همراه با دیگر ناهنجاری های مادرزادی مثل بیماری های خونی یا قلبی است پس هر بچه ای با این مشکل باید به توسط پزشک یک معاینه کلی شود .
درمان انگشتان اضافه یا پلی داکتیلی

درمان این ناهنجاری بصورت عمل جراحی و خارج کردن انگشت اضافه است. وقتی این انگشت اضافه در طرف شست قرار دارد معمولا بهترین زمان برای جراحی و خارج کردن آن یک و نیم سالگی است. عمل جراحی نباید به بعد از پنج سالگی بیفتد. وقتی انگشت اضافه در طرف انگشت کوچک است بهتر است در حدود یک سالگی جراحی شده و خارج شود و وقتی انگشت اضافه در وسط انگشتان دیگر است بهتر است عمل جراحی خارج کردن آن در سن شش ماهگی بچه انجام شود. بستن انگشت با نخ برای خارج کردن ممکن است موجب خونریزی های شدید شده و عملی خطرناک است. بهترین روش خارج کردن انکشت اضافی به توسط عمل جراحی و بوسیله پزشک است.
ب) چسبيدن انگشتان به يکديگر يا Syndactyly

سین داکتیلی syndactyly به معنای چسبیده بودن دو یا چند انگشت دست یا وجود پره پوستی بین انگشتان است. سین داکتیلی ممکن است کامل complete باشد یعنی از ریشه انگشت تا نوک انگشت به انگشت مجاور بچسبد و یا ممکن است ناکامل incomplete باشد یعنی دو انگشت مجاور فقط در قسمتی از طولشان به هم چسبیده باشند.
سین داکتیلی ممکن است ساده simple باشد یعنی دو انگشت مجاور فقط با یک پره پوستی به هم بچسبند و یا ممکن است پیچیده یا کمپلکس Complex باشد یعنی استخوان های انگشتان مجاور هم به یکدیگر بچسبد. گاهی سین داکتیلی مشکل دار یا Complicated است یعنی در انگشت استخوان های اضافه وجود دارد و یا تاندون ها یا لیگامان های انگشت هم دچار مشکل شده و ناهنجاری دارند .
چه عواملی موجب سین داکتیلی انگشتان دست میشوند؟

در طول دوران جنینی دست ابتدا به شکل یک پارو یا باله ماهی است و سپس در هفته هفتم جنینی شکاف هایی در آن ایجاد شده و انگشتان دست پدید میایند. علت سین داکتیلی جدا نشدن یک یا چند تا از این انگشتان به علت ایجاد نشدن شکاف است. دانشمندان بدنبال یافتن علت تشکیل نشدن این شکاف ها هستند. گاهی اوقات سین داکتیلی زمینه خانوادگی دارد و گاهی سین داکتیلی همراه با دیگر تغییرات یا ناهنجاری های مادرزادی در استخوان ها، صورت یا جمجمه است .
شیوع سین داکتیلی چقدر است؟
سینداکتیلی شایعترین تغییر شکل مادرزادی دست است و در هر 2000 تولد در یک نفر ایجاد میشود. در 40 درصد موارد زمینه خانوادگی داشته و معمولا بصورت ژن غالب به ارث میرسد یعنی اگر فردی سین داکتیلی داشته باشد احتمال بروز بیماری در فرزندانش 50 درصد است. البته سین داکتیلی فرزندان ممکن است از سین داکتیلی والدین خفیف تر یا شدیدتر باشد. سین داکتیلی در پسر ها دو برابر شایعتر از دختران است و شایعترین نوع آن یعنی در 50 درصد از موارد وجود چسبیدن انگشتان وسط و حلقه است. این عارضه در نیمی از موارد دوطرفه بوده و در هر دو دست دیده میشود .
آیا سین داکتیلی درد دارد؟
سین داکتیلی معمولا بدون درد است ولی بندرت و در موارد خیلی شدید که ناخن به داخل نوک انگشتان به هم چسبیده فرو میرود ممکن است عفونت خفیفی در ناحیه بوجود آید که بچه را کمی اذیت کند .
سین داکتیلی چگونه تشخیص داده میشود؟
تشخیص این مشکل معمولا در اولین معاینه پزشکی بعد از تولد که باید برای همه نوزادان در بیمارستان انجام شود انجام میگیرد. معمولا از رادیوگرافی برای تشخیص اینکه آیا استخوان های انگشتان هم به هم چسبیده اند یا خیر استفاده میشود .
درمان سین داکتیلی چیست؟
درمان سین داکتیلی جدا کردن انگشتان با عمل جراحی است. در عمل جراحی معمولا پوست بین انگشتان بصورت زیگزاگ برش داده شده و انگشتان از هم جدا میشوند. معمولا بعد از جدا شدن انگشتان، پوست موجود برای پوشاندن هر دو انگشت کافی نیست و نیاز به پیوند پوست پیدا میشود. پزشک جراح معمولا مقدار کمی پوست از پایین شکم فرد برداشته و به محلی از انگشتان که بعد از برش پوست کم دارد پیوند میزند . وقتی سین داکتیلی بین انگشتان شست و دوم است و یا بین انگشتان کوچک و انگشتری است عمل جراحی معمولا در شش ماهگی انجام میشود. به علت اینکه انگشت شست و انگشت کوچک از انگشت مجاورشان کوتاه ترند ممکن است در حین رشد انگشتان، دو انگشت به هم چسبیده در رشد یکدیگر اختلال ایجاد کنند. در این موارد جراحی دیرتر از یکسال معمولا به صلاح نیست .
در صورتیکه انگشتان اشاره و وسطی و یا انگشتان وسطی و انگشتری به هم چسبیده باشند جراحی معمولا در حدود یک و نیم سالگی انجام میشود. جراحی زودتر از یکسالگی ممکن است موجب مشکلاتی در بهبود زخم جراحی و یا نگرفتن پیوند پوست و یا افزایش احتمال عود بیماری شود. در موارد سین داکتیلی Complicated مثلا وقتی که تغییراتی در جمجمه فرد هم ایجاد شده است ممکن است نیاز باشد جراحی زودتر انجام شده و در چند مرحله انجام شود .
وقتی سه انگشت به هم چسبیده اند معمولا برای جدا کردن آنها نیاز به دو بار عمل جراحی معمولا با فاصله شش ماه از یکدیگر وجود دارد یعنی هر بار فقط دو انگشت از هم جدا میشوند. این اقدام به این جهت انجام میشود که جدا کردن همزمان دو طرف انگشتی که در وسط است ممکن است به عروق و خونرسانی آن صدمه بزند .
از موقع تولد بچه تا موقع جراحی باید چکار کرد؟
به محض تولد بچه در اولین فرصت باید بچه را برای معاینه به نزد یک متخصص ارتوپد برد. گاهی اوقات تشخیص سین داکتیلی با سونوگرافی قبل از تولد داده میشود، در این صورت قبل از تولد فرزندتان با یک ارتوپد مشورت کنید. در مدتی که برای رسیدن بچه به سن مناسب صبر میکنید ممکن است نیاز باشد بچه چند بار معاینه شود. در این مدت به والدین توصیه میشود بطور مرتب فاصله بین انگشتان را ماساژ دهند تا پوست بین آنها بیشتر کش بیاید و جدا کردن آنها در حین جراحی راحت تر باشد. پزشک معالج روش جراحی را برای شما توضیح خواهد داد. اعمال جراحی سین داکتیلی را متخصصین ارتوپدی بخصوص متخصصین دست یا ارتوپدی اطفال انجام میدهند .
بعد از جراحی چه باید کرد؟
بعد از جراحی معمولا پزشک جراح دست بچه را در یک آتل گچی بلند میگذارد که تا زیر بغل او میرود. این آتل برای سه هفته در محل باقی میماند و هدف از آن اینست که دست بیحرکت بماند و از گرافت ( پیوند پوستی) محافظت شود. بعد از سه هفته آتل خارج میشود و اسپلینت مخصوصی در بین انگشتان جدا شده بیمار برای شش هفته دیگر گذاشته میشود تا انگشتان از هم باز بمانند .
در این شش هفته برای بیمار کار درمانی انجام میشود تا انگشتان جدا شده بتوانند حرکت طبیعی خود را بدست آورند. بعد ار آن بیمار باید در فواصل منظمی تا چند سال تحت نظر پزشک معالج باشد تا از سالم بودن ظاهر و کارکرد انگشتان اطمینان حاصل شود. گاهی اوقات در بعضی از بچه ها بعد از گذشت مدتی از عمل جراحی مجددا یک پره پوستی در بین انگشتان ایجاد میشود که ممکن است نیاز به جراحی داشته باشد .
ت) ماکروداکتیلی

ماکروداکتیلی Macrodactyly یک ناهنجاری مادرزادی است که در آن بافت های یک انگشت بخصوص پوست، چربی و اعصاب یک انگشت رشد بیش از اندازه کرده اند و موجب میشوند یک انگشت یا تعدادی از انگشتان اندازه ای بزرگتر از معمول داشته باشند .
در این بیماری انگشت یا انگشتان بزرگتر گرچه ممکن است حجیم تر از دیگر انگشتان باشند ولی سرعت رشد آنها با دیگر انگشتان یکسان است. در مواقعی هم انگشت ناهنجار نه تنها بزرگتر است بلکه سرعت رشد آن هم بیش از دیگر انگشتان است یعنی اختلاف اندازه آن با دیگر انگشتان مرتبا بیشتر میشود .
این بیماری در دست بیش از پا دیده میشود و در 90 درصد موارد اوقات یکطرفه است ولی گاهی در دو دست یا دو پا با هم دیده میشود. در 70 درصد موارد در بیش از یک انگشت دیده میشود. در مواردی همراه با سین داکتیلی است و انگشتان مجاور به هم متصل میشوند. این ناهنجاری میتواند در بیماری های خاصی مانند نوروفیبروماتوز، ناهنجاری های عروقی، انکندروماتوز متعدد سندروم مافوچی و توبروز اسکلروز دیده شود .
درمان ماکروداکتیلی
درمان ماکروداکتیلی انجام عمل جراحی است و عمل جراحی این بیماری عمل پیچیده ای است چون باید در بافت ها و لایه های متعددی انجام شود .
اعمال جراحی متفاوتی برای این بیماری انجام میشود. یکی از آنها برداشتن چربی های اضافه انگشت و برداشتن پوست و سپس جایگزین کردن پوست برداشته شده با پیوند پوستی است که از دیگر مناطق اندام برداشته شده است. این عمل در چند مرحله و با فاصله سه ماه انجام میشود .
در مواردی ممکن است یک یا دو بند انگشت بزرگ شده قطع شود تا طول انگشت مناسب تر گردد و در مواردی هم ممکن است پزشک مجبور به قطع کل انگشت بزرگ شده بشود .
ث) باندهاي فشاردهنده Constricting band

همانطور که در ساير قسمت هاي اندام ها ديده مي شود٬ در انگشتان هم ممکن است ديـده شـود. قسـمت پـايين انگشت مـبتلا غـالبا متورم و بزرگ شده است . درمان شامل برداشتن باند فشاردهنده و ترميم آن با Z.Plastyو يـا پـيوند پـوست مـي باشد. گـاه قسـمت پـاييني بـه صورت زائـده گــوشتي بـي فايده است . در ايـن صـورت بـرداشـتن آن تـوصيه مي گردد .
ج) کلینوداکتیلی و کمپتوداکتیلی Clinodactyly & Camptodactyly

کلینوداکتیلی نوعی تغییر شکل انگشت کوچک دست بصورت انحراف آن بطرف انگشت چهارم است. این تغییر شکل در 80 درصد مبتلایان به سندروم داون دیده میشود. به نظر میرسد این تغییر شکل مادرزادی انگشت دست در 10 درصد افراد طبیعی جامعه دیده میشود. این تغییر شکل در مردان بیش از زنان دیده میشود. ممکن است یکطرفه یا دوطرفه باشد . کلینوداکتیلی در غالب اوقات نیاز به درمان ندارد. وقتی که شدت انحراف زیاد و بیش از 45 درجه باشد ممکن است نیاز به عمل جراحی وجود داشته باشد .
کمپتوداکتیلی نوعی تغییر شکل مادرزادی انگشت کوچک دست بصورت فلکشن یا خم شدن بند اینترفالانژیال پرگزیمال است. یعنی بند اول انگشت کوچک دست (آنکه به کف دست نزدیکتر است) به سمت پشت دست و بند میانی به سمت کف دست منحرف میشود. این تغییر شکل مادرزادی در یک درصد افراد طبیعی جامعه دیده شده و معمولا مشکلی برای فعالیت های روزانه ایجاد نمیکند .
کمپتوداکتیلی ممکن است یکطرفه یا دوطرفه (67 درصد موارد) بوده و گاهی اوقات در انگشت چهارم دست هم دیده میشود. ممکن است ارثی باشد. این تغییر شکل انگشت در غالب اوقات نیازی به درمان ندارد .
چ) فـقدان مـادرزادي شست (Congenital Absence of the Thumb)

ح) دست خرچنگي(Lobster Claw Hand )

خ) فقدان مادرزادي دست (Congenital Amputation )

د) کوتاه بودن مـادرزادي انگشـتان دست (Brachydactyly )

ذ) مادلانگ دفورمیتی
مادلانگ دفورمیتی نوعی اختلال رشد مچ دست است که موجب قوسی شدن استخوان رادیوس یا زند اعلی و برجسته شدن انتهای پایینی استخوان اولنا و پشت مچ دست و انحراف مچ دست به سمت پایین میشود .
علت بیماری به درستی شناخته شده نیست ولی میدانیم که با مختل شدن رشد در قسمت قدامی مچ دست و وجود یک نوار بافتی محکم بنام Vicker’s ligament در مفصل مچ دست همراه است. این بیماری معمولا ارثی است و در دختران نوجوان بیشتر دیده میشود و معمولا دو طرفه است. گاهی اوقات ضربه به مچ دست و یا عفونت های مچ دست میتوانند با ایجاد اختلال در رشد قسمتی از صفحه رشد پایینی استخوان رادیوس این بیماری را ایجاد کنند .در این بیماران سطح مفصلی استخوان رادیوس به سمت اولنار انحراف پیدا کردن و قوس استخوان رادیوس افزایش پیدا میکند.

مادلانگ دفورمیتی بیشتر در دختران نوجوانی تشخیص داده میشود که معمولا به علت درد و محدودیت حرکتی و تغییر شکل مچ دست به پزشک مراجعه میکنند. این بیماران وقتی ساعد خود را بصورت افقی طوری میگیرند که کف دست به طرف زمین باشد دستشان پایینتر از سطح ساعد آنها قرار گرفته است. معمولا سطح پشتی مچ دست آنها برجسته تر از معمول است و محدودیت حرکات مچ دست بخصوص محدودیت در سوپینیشن و اکستنشن و انحراف مچ دست به سمت رادیال دارند .
درمان مادلانگ دفورمیتی چیست؟
در صورتیکه کارکرد مچ دست خوب باشد بیمار نیازی به درمان ندارد . درمان فقط موقعی انجام میشود که بیمار درد دائمی را در مچ دست خود احساس کند که موجب محدود شدن فعالیت های بدنی او شود. همچنین گاهی درمان فقط برای اصلاح ظاهر مچ دست و دلایل زیبایی انجام میشود .
درمان بصورت انجام عمل جراحی است و جراحی تاثیری بر روی محدودیت حرکتی مچ دست ندارد. دو نوع درمان جراحی برای این بیماران انجام میشود. کوتاه کردن استخوان رادیوس و یا بلند تر کردن استخوان اولنا و یا هر دو آنها با هم . انحراف مچ دست بصورت جابجایی به سمت پایین و برجسته بودن انتهای پایینی استخوان اولنا از علائم دفورمیتی مادلانگ است.
در معمول ترین عمل جراحی که برای این بیماران انجام میشود لیگامان ویکرز در مچ دست آزاد شده و استخوان رادیوس در بالای مچ دست استئوتومی میشود یعنی به توسط جراحی شکانده شده و سپس استخوان ها در موقعیتی جدید و بهتر قرار گرفته و به توسط ایمپلنت های فلزی مدتی در همان وضعیت باقی میمانند تا جوش بخورند. در این عمل جراحی معمولا قسمتی از پایین استخوان اولنا هم برداشته میشود .
اکثر بیماران مبتلا به مادلانگ دفورمیتی زندگی فعال و بدون مشکلی دارند و فقط گاهگاهی بدنبال فعالیت بدنی شدید ممکن است دچار درد در مچ دست شوند .
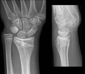
ر) شکستگی صفحه رشد انتهای پایینی استخوان رادیوس در مچ دست

شایعترین نوع شکستگی در قسمت پایینی استخوان رادیوس یا زند زبرین شکستگی کالیس است. شکستگی کالیس نوعی شکستگی دیستال استخوان رادیوس ( قسمت انتهایی استخوان رادیوس یا زند زبرین که نزدیک مچ دست قرار دارد) است که در آن قطعه شکسته شده که به مفصل مچ دست متصل است به سمت دورسال یا پشتی جابجا میشود ( منظور از سطح دورسال یا پشتی یعنی به طرف پشت دست یا پشت مچ دست که مخالف طرف کف دستی است).
گاهی اوقات ضرباتی که به انتهای پایینی استخوان رادیوس وارد میشود موجب آسیب به این ناحیه ولی با شکلی متفاوت از شکستگی کالیس میشود . یکی از این اشکال متفاوت، شکستگی صفحه رشد انتهای پایینی استخوان زند زبرین است .صفحه رشد صفحه ای از جنس غضروف است که در انتها های استخوان های بلند قرار داشته و با فعالیت خود موجب رشد طولی استخوان میشود. در انتهای پایینی استخوان رادیوس یک صفحه رشد قرار دارد. صفحه رشد در تصویر رادیوگرافی معمولا به صورت یک خط سیاه رنگ دیده میشود .
مکانیسم شکستگی صفحه رشد انتهای پایین استخوان رادیوس شبیه شکستگی کالیس است. تفاوت در این است که این شکستگی در کسانی ایجاد میشود که هنوز صفحه رشد انتهای پایینی استخوان آنها باز و فعال است. پس این شکستگی در بچه ها و نوجوانان ایجاد میشود. این شکستگی ها معمولا از نوع سالتر هاریس دو هستند .
شکستگی صفحه رشد انتهای پایینی استخوان زند اعلی را نباید با شکستگی باکل یا توروس اشتباه کرد. شکستگی باکل (توروس) نوعی شکستگی ترکه تری در بالاتر از صفحه رشد است .
درمان شکستگی صفحه رشد انتهای پایینی استخوان رادیوس در غالب اوقات بصورت جااندازی بسته و گچ گیری است. در مواردی که شکستگی بصورت بسته جا نمی افتد اقدام به جا اندازی باز و فیکس کردن قطعات با پین میشود .
-