- تاریخ درج : ۱۱ فروردین ۱۳۹۶
- تعداد بازدید: 71300
- نویسنده : دکتر محسن مردانی کیوی
-
الف) تورتیکولی یا کجی گردن
تورتیکولی یا کج بودن گردن یک بیماری است که بیشتر در نوزادان دیده میشود . بعضی از مادران در 8-6 هفته اول بعد از زایمان متوجه میشوند گردن نوزادشان به یک طرف کج و منحرف شده است. نوزاد بیشتر سرش را به یک طرف نگه میدارد و چرخاندن سر به طرف دیگر برایش مشکل است. به این بیماری تورتیکولی مادرزادی Congenital muscular torticollis میگویند .
علت ایجاد تورتیکولی مادرزادی چیست؟
.jpg)
هنوز علت این بیماری به درستی شناخته نشده است. علل مختلفی که برای ایجاد آن ذکر میکنند عبارتند از
سر و گردن بچه در شکم مادر در وضعیت نامناسبی قرار میگیرد و در نتیجه به همان شکل فرم گرفته و باقی میماند .
در حین بارداری به شکم مادر ضربه وارد میشود و این ضربه موجب خونریزی در درون عضله استرنوکلیدوماستویید میشود که آن هم موجب کج شدن گردن میشود .
در حین زایمان گردن بچه کشیده میشود و این کشش موجب پارگی در عضله استرنوکلیدوماستویید و متعاقب آن خونریزی در عضله میشود. این خونریزی به تدریج جذب شده ولی در محل آن بافت بخصوصی ایجاد میشود ( مانند گوشت اضافه که در هنگام بریده شدن پوست ایجاد میشود). خاصیت این بافت اینست که طول آن بتدریج کم میشود. کوتاه شدن طول بافت، موجب کوتاه شدن طول عضله و در نتیجه کج شدن گردن به یک طرف میشود. با کج شدن گردن سر بچه هم به یک طرف کج شده و چانه او به سمت دیگر منحرف میشود. با در نظر گرفتن اینکه حدود نیمی از بچه هایی که دچار تورتیکولی مادرزادی هستند بصورت بریچ یا با پا بدنیا میایند و در این نوع زایمان به بدن نوزاد فشار زیادی وارد میشود به نظر میرسد این مکانیسم توجیه بیشتری داشته باشد .
علائم کجی گردن بچه یا تورتیکولی چیست؟
.jpg)
در این بیماری اگر بچه در یک ماه اول عمرش معاینه شود معمولاً یک توده در یک طرف گردن وی و در یک سوم میانی عضله استرنوکلیدوماستویید لمس میشود . (عضله استرنوکلیدوماستویید در دو طرف گردن قرار دارد). گاهی اوقت این توده در بدو تولد وجود دارد و گاهی اوقات در هنگام تولد وجود ندارد ولی در یکی دو هفته اول بعد از تولد ظاهر میشود. توده ذکر شده معمولاً بدون درد است. معمولا در 4-2 هفته اول بعد از تولد کم کم بزرگتر شده و سپس بتدریج شروع به کوچک شدن میکند بطوریکه در سنین 6-4 ماهگی کاملا کوچک شده یا کلا از بین میرود .
سر بچه به طرفی که توده هست کج میشود ولی چانه بیمار به طرف مقابل میچرخد. حرکات گردن محدودیت دارد .
اگر بیماری درمان نشود بتدریج و با گذشت زمان به علت اینکه بچه بیشتر به یک طرف میخوابد ممکن است یک طرف سر و صورت پهن شود. پس این بیماری میتواند در دراز مدت موجب نامتقارن شدن صورت شود. در سنین بالاتر کم کم ستون مهره گردنی و حتی سینه ای دچار انحراف جانبی یا اسکولیوز میشود .در حدود 20-10 درصد این بچه ها مشکلات مادرزادی مفصل لگن هم وجود دارد پس به محض دیدن این عارضه بچه باید از لحاظ مفصل لگن هم بررسی شود .
درمان تورتیکولی چگونه است؟
مادر در طول روز باید اسباب بازی های بچه را در سمتی بگذارد که بچه سرش را به طرفی که مشکل دارد بچرخاند. در حین جابجا کردن بچه وی را باید طوری این طرف و آنطرف برد که مجبور شود سرش را به طرفی که مشکل دارد بچرخاند. وقتی بچه را در تخت میگذاریم باید او را رو به دیوار بخوابانیم تا مجبور شود سرش را برای دیدن اطراف به طرفی که مشکل دارد بچرخاند و در موقع شیر دادن هم بچه را در جهتی قرار دهیم که مجبور شود سرش را به طرف دیگر بچرخاند .
درمان دیگری که در این بیماران مفید است نرمش های کششی گردن است . این نرمش ها با حرکت دادن سر انجام میشود به نحوی که چانه بچه و گوش بچه شانه او را لمس کند. نرمش ها را پزشک یا فیزیوتراپ به مادر آموزش داده و مادر روزی چند بار آنها را برای بچه انجام میدهد. این عارضه در 90 درصد موارد با اقدامات و نرمش های ذکر شده خوب میشود .
معمولا این درمان ها تا سن یکسالگی ادامه میابد. اگر تا این سن بچه خوب نشد نیاز به درمان جراحی وجود دارد. در حین جراحی پزشک ارتوپد طول عضله کوتاه شده را با انجام برش هایی در آن بلند میکند. بعد از جراحی بچه باید تا مدتی بریس های گردنی مخصوصر را بپوشد و فیزیوتراپی را ادامه بدهد .
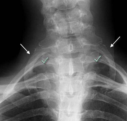
ب) دنده گردنی چیست؟
گاهی اوقات پایینترین مهره گردن یعنی مهره هفتم هم یک دنده دارد که البته به اندازه دنده های سینه ای نیست و از آنها کوچکتر است. پس این دنده در بالای دنده اول سینه ای قرار میگیرد. به این دنده اضافی دنده گردنی میگویند و از هر 200 انسان در یک نفر وجود دارد. پس این انسان ها بجای 12 جفت دنده 13 جفت دنده دارند. وجود دنده گردنی ممکن است باعث ایجاد درد در گردن و دست و بیحسی یا مور مور شدن دست شود. دنده گردنی میتواند در یک طرف گردن باشد و یا میتواند دو طرفه باشد . همانطور که گفتیم یک سر این دنده به مهره هفتم گردنی متصل شده است ولی سر دیگر آن معمولا آزاد است. البته گاهی اوقات سر دیگر آن با دنده اول سینه ای مفصل میشود و یا گاهی اوقات از سر این دنده گردنی یک نوار بافتی محکم خارج شده و به دنده اول متصل میشود .
اهمیت دنده گردنی چیست؟
برای درک اهمیت دنده گردنی باید ابتدا بدانیم فضای خروجی سینه یا توراسیک اوتلت چیست : در جلو و بالای دنده اول، استخوان ترقوه قرار گرفته است. بین دنده اول و استخوان ترقوه فضایی وجود دارد که به آن فضای خروجی سینه یا توراسیک اوتلت میگویند. از لحاظ آناتومی این فضا در بین قاعده گردن و زیر بغل شما قرار گرفته است. در نزدیکی این فضا عضلاتی هم به نام عضلات اسکالنScalenus muscles قرار دارند. اهمیت این فضا در اینست که عروق و اعصاب مهمی از آن عبور میکنند.
اعصاب مهمی که از دو طرف مهره های گردنی خارج میشوند به هم میپیوندند و ایجاد شبکه ای را میکنند که به آن شبکه بازویی Brachial plexus میگویند از این شبکه بازویی اعصاب مهمی منشعب میشود که حس و حرکت کل اندام فوقانی را ایجاد میکنند. این شبکه بازویی از توراسیک اوتلت عبور میکند. همچنین شریان مهمی به نام شریان ساب کلاوین Subclavian یا زیر ترقوه ای از آئورت خارج میشود و از این فضا عبور میکند و سپس به اندام فوقانی رفته و کل اندام را تغذیه میکند. در این فضا وریدی هم به همین نام قرار دارد .
.jpg)
اهمیت این فضای توراسیک اوتلت در بیماری است که به علت تنگ شدن این فضا ایجاد شده و به آن سندرم توراسیک اوتلت Thoracic outlet syndrome میگویند. این فضا به علل مختلفی میتواند تنگ شود. تنگ شدن آن معمولا در طرف راست یا چپ است ولی میتواند دو طرفه هم باشد. بدنبال تنگ شدن این فضا اعصاب شبکه بازویی تحت فشار قرار میگیرند و فشار به این اعصاب، علائمی را برای بیمار ایجاد میکند. گاهی هم ممکن است شریان یا ورید ساب کلاوین هم در این فضا گیر کنند که فشار به آنها هم میتواند علائم دیگری را برای بیمار ایجاد کند
اهمیت دنده گردنی اینست که وجود آن یکی از شایعترین علل ایجاد سندرم توراسیک اوتلت است .
علل متفاوتی میتواند فضای توراسیک اوتلت را تنگ کند. مهمترین این علل عبارتند از:
یکی از علل شایع تنگ شدن فضای توراسیک اوتلت، وجود دنده گردنی است. پس اهمیت دنده گردنی اینست که میتواند فضای توراسیک اوتلت را تنگ کرده و به اعصاب یا عروقی که از این ناحیه عبور میکنند فشار ایجاد کند. البته اینطور نیست که هر کسی که دنده گردنی دارد این مشکلات را هم داشته باشد. از هر ده نفری که دنده گردنی دارند فقط در یک نفر آنها به اعصاب یا عروق فشار وارد شده و مشکل دار میشوند .
.jpg)
در بعضی افراد یک نوار بافتی محکم از نوک زائده عرضی مهره هفتم گردنی خارج شده و به دنده اول سینه میچسبد. این نوار بافتی در فضای توراسیک اوتلت است و میتواند مانند دنده گردنی به اعصاب و عروق فشار وارد کند. گاهی اوقات هم فقط زائده عرضی مهره هفته گردنی بلندتر از معمول بوده و در فضای مورد نظر به عروق و اعصاب فشار وارد میکند .
در بعضی افراد، عضلات اسکالن که نزدیک این فضا هستند بزرگ میشوند ( مانند کسانی که وزنه برداری میکنند) یا بطور مادرزادی عضلات بیشتری در این ناحیه دارند یا عضلاتی که در این ناحیه دارند تغییر شکل میدهد به نحوی که میتواند به اعصاب و عروق این ناحیه فشار وارد کند .
گاهی اوقات تصادف اتومبیل موجب خونریزی در این فضا شده و آنرا تنگ میکند یا گاهی اوقات شکستگی استخوان ترقوه موجب تنگ شدن فضا میشود .
در بعضی شغل ها فرد زیاد دستش را بالای سرش میبرد و با در بعضی ورزش ها مانند شنا یا پرتاب نیزه یا دیسک، دست زیاد به بالای سر میرود. در این افراد هم اعصاب و عروق در فضای توراسیک اوتلت زیاد به بافت های اطراف مالیده شده و علائم سندرم توراسیک اوتلت را ایجاد میکنند .
کسانی که بد می ایستند و شانه های آویزان دارند و در هنگام ایستادن سر را به جلو میگیرند هم در معرض سندرم توراسیک اوتلت هستند .
.jpg)
کار کردن زیاد با کامپیوترمیتواند این وضعیت را ایجاد کند.
.jpg)
شانه های آویزان موجی تنگ تر شدن این فضا میشود. در بعضی زنانی که سینه های بزرگ و آویزان دارند هم ممکن است وزن سینه موجب کشیده شدن جدار قفسه سینه به پایین و جلو شود و موجب کشیده شدن عضلات فضای توراسیک اوتلت شده که آنهم موجب فشار به اعصاب و عروق میشود .
گاهی اوقات هم تومورهایی در این فضا ایجاد شده و آن را تنگ میکند .
اختلالات هورمونی در تیروئید یا در سطح استروژن بدن و یا روماتیسم یا تغییر در انحنای ستون مهره بصورت کیفوز یا اسکولیوز میتواند زمینه بروز این بیماری را مهیا کند .
پ) اسکولیوز مادرزادی در ستون مهره
اسکولیوز مادرزادی انحراف جانبی ستون فقرات به علت یک نقص مادرزادی در مهره ها است. شیوع اسکولیوز مادرزادی ستون مهره حدود یک در هر ده هزار تولد است. بعضی از این بیماران نقص های دیگر مادرزادی مثل مشکلات کلیه یا مثانه هم دارند. اسکولیوز ستون مهره گرچه در زمان تولد وجود دارد ولی گاهی تا وقتی بچه به سنین نوجوانی برسد تشخیص داده نمیشود .
اسکولیوز مادرزادی یا انحراف جانبی ستون فقرات چه انواعی دارد؟
.jpg)
1- تشکیل ناقص مهره Incomplete formation of vertebrae
در این نوع, وقتی مهره در زمان جنینی در حال درست شدن است ممکن است قسمتی از یک یا چند مهره درست نشود. مهره درست شده یک نیمه مهره یا Hemivertebrae است. این مهره به جای اینکه به شکل استوانه باشد به شکل یگ گوه است. و در محل همین مهره گوه ای شکل ستون مهره قوس بر میدارد. شدت این قوس با افزایش سن بچه بیشتر میشود . این تغییرات گاهی در یک مهره و گاهی در چند مهره ایجاد میشود. وقتی در چند مهره ایجاد شده و جته مهره های گوه ای شکل در خلاف جهت یکدیگر است ممکت است اثر یکدیگر را خنثی کرده و انحراف جانبی در ستون فقرات ایجاد نشود .
.JPG)
2- نقص در جدا شدن مهره ها failure of separation of vertebrae
در زمان جنینی ستون فقرات ابتدا به شکل یک میله یا استوانه دراز است که بعداً قطعه قطعه Segmentation شده و هر قطعه یک مهره را تشکیل میدهد. اگر این جدایش یا قطعه قطعه شدن به درستی صورت نگیرد ممکن است دو یا چند مهره از کنار به هم متصل باقی بمانند. این اتصال بین مهره ها موجب میشد بعد از تولد مهره های به هم چسبیده از یک طرف زشد کرده و از طرفی که به هم متصل شده اند رشد نکنند. در این صورت با رشد بچه بتدریج مهره قوس برداشته و قوس آن شدیدتر میشود .
3- ترکیبی از دو حالت بالا
ممکن است ترکیبی از دو حالت بالا با هم دیده شود که موجب بروز قوس های شدیدی در ستون فقرات میشود. این بیماران معمولاً نیاز به عمل جراحی در سال های اولیه عمرشان دارند .
ت) کیفوز ستون مهره ای نوجوانان
.jpg)
گرد بودن ستون فقرات در قسمت سینه ای تا حدودی طبیعی است. وقتی این خم بودن از حدی بیشتر باشد به آن کیفوز Kyphosis میگویند. کیفوز ستون مهره به علت تغییر شکلی که در تنه ایجاد میکند برای بیماران بسیار ناخوشایند است. پزشک ارتوپد برای تشخیص این بیماری از رادیوگرافی ساده استفاده میکند. مهره های اول تا دوازدهم سینه ای قوسی را تشکیل میدهند که زاویه بین 45-20 درجه دارد. اگر این قوس از 50 درجه بیشتر باشد غیر طبیعی محسوب میشود .
کیفوز یا گوژ پشتی در ستون مهره ای سینه ای معمولا به علت مشکلات تعدادی مهره ایجاد شده و بنابراین بصورت یک قوس یکنواخت مانند علامت ( است ولی گاهی اوقات تغییر شکل تنها در یک مهره ایجاد میشود ( مثلا در سل ستون مهره) و ستون مهره به شکل < درمیاید. به این حالت قوز یا Gibosity میگویند . گاهی اوقات کیفوز ستون مهره همره با اسکولیوز است. به این حالت کیفواسکولیوز Kypho scoliosis میگویند و شایعترین علت آن بیماری نوروفیبروماتوز است .
درمان کیفوز یا قوس پشتی ستون فقرات چیست؟
برای درمان کیفوز پزشک ارتوپد هم از درمان های غیر جراحی و هم درمان های جراحی استفاده میکند. بیمار باید نرمش های طبی خاصی را برای تقویت عضلات اطراف ستون مهره انجام دهد. اگر فرد همچنان در حال رشد باشد ممکن است پزشک معالج از بریس های خاصی استفاده کند. استفاده از این بریس ها معمولا تا زمان تمام شدن رشد در پایان بلوغ ادامه میابد .
اگر زاویه قوس ستون مهره بیش از 75 درجه باشد معمولا از درمان جراحی استفاده میشود. در درمان جراحی این بیماری، پزشک معالج ابتدا امتداد مهره ها را اصلاح کرده و سپس با استفاده از پیچ و میله های خاصی آنها را در وضعیت اصلاح شده نگه میدارد. همچنین با استفاده از پیوند استخوان تعدادی از مهره ها را به یکدیگر جوش میدهد .در کیفوز مادرزادی ستون مهره جنین در زمانی که در شکم مادر است خوب تشکیل نشده است. ممکن است دو یا چند مهره از یک طرف به هم چسبیده باشد یا مهره بصورت ناقص تشکیل شده باشد که در نتیجه آن بعد از تولد با رشد بچه قوس ستون مهره بتدریج بیشتر میشود . درمان کیفوز های مادرزادی نیز به توسط عمل جراحی انجام میگیرد .
ث) کیفوز شوئرمن Scheuermann’ Kyphosis
.jpg)
شوئرمن نام رادیولوژیست دانمارکی است که اولین بار این عارضه را شرح داد. این بیماری هم در نوجوانان با سن حدود 16-10 سال یعنی سن بلوغ بروز کرده و معمولاً شدت قوس ستون مهره در این بیماری بیش از کیفوز نوع قبل است .
مشکل این بیماران بجز تغییر شکلی که در ستون مهره ایجاد شده است دردی است که ممکن است در ایستادن و نشستن طولانی مدت بیشتر شود. البته شدت درد اکثرا در حین فعالیت های بدنی و ورزشی هم بیشتر شود. این در حتی بدون درمان بهد از پایان بلوغ بطور خودبخود بهبود میابد.
رادیوگرافی ساده مهره های این بیماران تغییر شکلی را نشان میدهد بطوریکه چند مهره متوالی بجای استوانه ای بودن بصورت گوه دیده میشوند و ارتفاع مهره در جلو کمتر از عقب آن میشود .
ج) اسپوندیلیت انکیلوزان
اسپوندیلیت انکیلوزان یک نوع روماتیسم ستون مهره است که میتواند موجب کیفوز شود.
چ) تخریب یا تغییر شکل مهره
این تغییر شکل میتواند به علت شکستگی یا عفونت یا تومور مهره و یا به علت پوکی استخوان ایجاد شود .
ح) ضعف عضلات ستون مهره
این وضعیت میتواند در جریان بیماری هایی مثل دیستروفی های عضلانی، فلج اطفال و فلج مغزی ایجاد شود. در این موارد عضلات اطراف ستون مهره قدرت کافی ندارند تا آنرا صاف مستقیم نگه دارند .
خ) گودی کمر یا لوردوز چیست؟
گودی کمر یا لوردوز به معنی افزایش تقعر ستون مهره کمری است. در لوردوز یا گودی کمر قوس ستون فقرات کمری به جلو بیشتر شده، شکم به جلو آمده و باسن به عقب میرود .
ستون مهره از روی هم قرار گرفتن 7 مهره گردنی و در پایین آن ها 12 مهره سینه های و در پایین آنها 5 مهره کمری و سپس مهره خاجی و دنبالچه ای تشکیل شده است. اگر ستون مهره را از جلو نگاه کنیم مهره ها در یک خط صاف و عمود قرار گرفته اند ولی اگر از کنار به ستون فقرات نگاه کنیم متوجه میشویم که مهره های گردنی و سینه ای و کمری قوس هایی را درست میکنند .
مهره های سینه ای طوری قوس دارند که تحدب یا گوژی آنها به سمت عقب است و مهره های گردنی و کمری طوری قرار میگیرند که تحدب آنها به سمت جلو است. این قوس به جلوی مهره های گردنی و کمری را لوردوز Lordosisمیگویند. بعضی از مردم به لوردوز کمر گودی کمر هم میگویند. این لوردوز یا گودی کمر تا حدی طبیعی است ولی در بعضی از افراد این گودی زیاد میشود و موجب بروز مشکلاتی مانند کمردرد و احساس خستگی در کمر میشود. با افزایش لوردوز شکم بیمار به جلو آمده و باسن وی به عقب میرود و کلا قامت آراسته فرد از بین میرود و فرد حالت بیحال و خمودگی به خود میگیرد .
گودی کمر به چه عللی ایجاد میشود؟
علل متفاوتی میتوانند شدت لوردوز کمری را افزایش دهند که شایعترین آنها عبارتند از
شایعترین علت گودی کمر ضعف عضلات کمر و شکم است
بزرگ شدن شکم موجب میشود مهره های کمری بر اثر وزن آن به جلو آمده و لوردوز آن بیشتر شود
به هر علتی که فرد نتواند مفصل ران خود را کاملا صاف کند ( مثلا دررفتگی دو طرفه مفاصل ران) در هنگام ایستادن لگن مجبور میشود به سمت جلو بچرخد و با چرخش لگن به جلو لوردوز کمر بیشتر میشود
بیماری های عصبی یا عضلانی مانند دیستروفی های عضلانی یا پولیومیلیت ( فلج اطفال )
کیفوز مهره های کمری موجب میشود فرد برای حفظ تعادل خود لوردوز کمری را زیاد کند
.jpg)
درمان گودی کمر چیست؟
برطرف کردن علت اصلی بوجود آورنده لوردوز یا گودی کمر میتواند آن را برطرف کند. با این حال علت گودی کمر هر چه باشد تقویت عضلات کمر و شکم و عضلات باسن میتواند شدت لوردوز را کاهش دهد. در نظر داشته باشید که شایعترین علت افزایش گودی کمر ضعیف شدن عضلات شکم و ستون مهره و کاهش قدرت انعطاف پذیری عضلات و تاندون های اطراف لگن است. این ضعف عضلانی و کاهش انعطاف پذیری در افرادی که شغل نشسته داشته و فعالیت بدنی منظمی ندارند بیشتر ایجاد میشود. با افزایش سن هم مشکلات ذکر شده شدیتر میگردند پس مهمترین اقدام در درمان لوردوز و گودی کمر افزایش قدرت عضلات شکم و کمر و افزایش انعطاف پذیری بافت نرم اطراف لگن است . برای نیل به این مقصود میتوانید از همان نرمش هایی که برای درمان کمر درد استفاده میشود سود ببرید. این نرمش ها عضلات ستون مهره و شکم شما را تقویت کرده و گودی کمر شما را کاهش میدهند.
.jpg)
کمر درد در بچه ها به چه عللی ایجاد میشود؟

علت کمردرد در بچه ها در غالب اوقات به علت کشیدگی و اسپاسم عضلات کمر است که آن هم بدنبال انجام فعالیت های ورزشی است. این درد ها در غالب اوقات با کمی استراحت و بعد از 2-1 هفته از بین میرود. کمردرد در بچه وقتی بیش از یک ماه طول میکشد جدی است و باید علت آن بدقت بررسی شود .
بروز کمردرد در بچه ها طبیعی نبوده و باید جدی گرفته شود. در بچه ای که کمردرد دارد احتمال اینکه علت درد مشکل جدی باشد بیش از بالغین است. بخصوص اگر سن بچه کمتر از 4 سال باشد یا کمردرد همراه با تب، کاهش وزن، ضعف و گزگز اندام تحتانی، مشکل در راه رفتن، انتشار درد به اندام تحتانی، مشکلات مثانه یا دستگاه گوارش باشد یا درد آنقدر شدید باشد که مانع خوابیدن بچه شود .
اگر کمردرد بچه بیش از چند روز طول بکشد یا بدتر شود حتماً با پزشک مشورت کنید .

در کمردرد بچه ها علائم زیر نشانه خطر هستند و با دیدن آنها باید به پزشک مراجعه کرد :
- کمردردی که بیش از یک ماه طول بکشد
- کمردردی که مانع انجام فعالیت های روزانه بچه شود
- وجود علائمی مانند تب، سرفه یا مشکلات ادراری و گوارشی
- انتشار درد به اندام تحتانی
- سابقه ضربه شدید به ستون مهره
علل کمردرد بچه ها چیست؟
1- کشیدگی عضله
کشیدگی عضلات اطراف ستون مهره شایعترین علت کمردرد در بچه ها و نوجوانان است. این درد ها معمولاً به چند روز استراحت و مصرف دارو و تقویت عضلات شکم و کمر جواب داده و خوب میشود. بعضی از نوجوانان کمردرد های شدیدتری دارند که معمولاً علت آنها سفت بودن عضلات همسترینگ ( عضلاتی که در سطح داخلی و کشاله ران قراردارد) و ضعف عضلات شکم است. اغلب این درد ها با نرمش های کششی و تقویتی خوب میشوند .
2- کمر قوز دار یا کیفوز Kyphosis
در نوجوانان قوس زیاد بالای کمر که بصورت قوز کردن است و کمر را به جلو خمیده میکند میتواند موجب کمردرد شود. افزایش قوس کمر در این افراد بصورت افزایش قوس ستون مهره در ناحیه سینه ای است و به آن کیفوز شوئرمن Scheuermann’s kyphosis میگویند. در این بیماری مهره های ناحیه سینه ای تغییر شکل داده و موجب قوز میشوند. درد در این افراد در قسمت های بالایی ستون مهره است و با فعالیت بدنی شدیدتر میشود .
3- شکستگی استرسی ستون مهره Stress fracture of the spine
این بیماری که آنرا اسپوندیلولیز Spondylolysis هم میگویند میتواند موجب کمردرد در نوجوانان شود. ورزش هایی که در آنها کمر زیاد میچرخد یا به عقب زیاد خم میشود مانند ژیمناستیک شیرجه یا فوتبال میتواند زمینه را برای بروز این بیماری فراهم کند. این عارضه معمولاً در سنین بلوغ یعنی زمانی که بیمار رشد سریع بدنی و قدی پیدا میکند دیده میشود. درد معمولاً خفیف است و به باسن و ساق تیر میکشد. درد با فعالیت بدنی بیشتر شده و با استراحت کم میشود. این بیماران در حین راه رفتن قدم های کوچک برمیدارند .
4- سر خوردن مهره
به این عارضه اسپوندیلولیستزی Spondylolysthesis میگویند و به علت سر خوردن یک مهره کمری به سمت جلو روی مهره پایینی بوجود میاید. شایعترین محل آن، اتصال مهره های کمری به خاجی است یعنی معمولاً مهره پنجم کمری روی مهره اول خاجی یا ساکروم به سمت جلو سر میخورد. اگر این سر خوردن و به جلو آمدن مهره شدید باشد کانال نخاعی تنگ شده و به ریشه های عصبی فشار وارد میشود که این خود موجب علائم عصبی در نزد بیمار میگردد .
5- عفونت
در بچه های با سن کم عفونت دیسک Diskitis میتواند موجب کمردرد شود. عفونت مهره معمولاً در سنین 5-1 سالگی ایجاد میشود گرچه تا سنین نوجوانی هم دیده میشود. علائم این بیماری بصورت درد در پایین کمر و یا حتی شکم و خشکی ستون مهره است. لنگش در حین راه رفتن و امتناع بچه از راه رفتن از دیگر علائم بیماری است. وقتی بچه میخواهد از روی زمین چیزی را بردارد بجای خم شدن به جلو، دو زانو مینشیند و بدون خم کردن کمر جسم را گرفته و بلند میشود .
6- تومور
بندرت کمردرد میتواند به علت تومورهای استخوانی مثل استئوئید استئوما Osteoid osteoma ،استئوبلاستوما، گرانولوم ائوزینوفیلیک، کیست استخوانی آنوریسمی و تومورهای بدخیم مانند لوسمی باشد. این تومورها بیشتر در ستون مهره ای سینه ای و یا کمری هستند. در این بیماران درد همیشگی است و به مرور بیشتر میشود. هم در روز و هم در شب است و شدت آن معمولاً ارتباطی با فعالیت بدنی ندارد .
-