- تاریخ درج : ۱۲ اسفند ۱۳۹۵
- تعداد بازدید: 34040
- نویسنده : دکتر محسن مردانی کیوی
-
منبع :
ncbi
شکستگی زانو:
شکستگی مفصل زانو یا در انتهای ران اتفاق می افتد که در قسمت شکستگی های ران شرح داده شد و یا در ابتدای ساق که در همان بخش به توضیح آن خواهیم پرداخت. در اینجا تنها به معرفی شکستگی استخوان کشکک زانو می پردازیم که در جلو زانو قرار گرفته است و تاندون مهمترین عضله ای که موجب حرکت زانو میشود (عضله ی چهارسر ران) به آن متصل می گردد. با انقباض این عضله است که زانو در حالت مستقیم قرار گرفته و انسان توانایی ایستادن پیدا میکند. کشکک در واقع مانند یک سپر و محافظ در جلوی زانو است و ضرباتی که از جلو به زانو وارد میشود را جذب میکند. اگر این ضربات شدید باشند میتوانند موجب شکستگی کشکک شوند. این شکستگی ها حدود یک درصد کل شکستگی های بدن بوده و در مردان دو برابر زنان و بیشتر در سنین بیست تا پنجاه سال دیده میشود.
1- علت شکستگی کشکک:
شکستگی کشکک معمولا به علت ضربه مستقیم مثل زمین خوردن روی زانوی خم شده اتفاق میفتد. در این حالات شکستگی معمولا چند تکه بوده ولی قطعات شکسته شده جابجایی زیادی ندارند .گاهی اوقات انقباض ناگهانی عضله چهارسر ران ممکن است آنقدر شدید باشد که موجب شکسته شدن کشکک شود. در این حالات استخوان کشکک دو تکه میشود و قطعات شکسته شده با یکدیگر فاصله میگیرند .

2- علائم شکستگی کشکک:
علائم عمده شامل درد و تورم شدید در جلوی زانو است. خون مردگی، ناتوانی در راست نگه داشتن زانو و ناتوانی در راه رفتن نیز از دیگر علائم است. اگر شکستگی بر اثر ضربه مستقیم به کشکک مثل زمین خوردن ایجاد شده باشد معمولا خراشیدگی پوستی در جلوی زانو دیده میشود .بدنبال شکستگی معمولا در داخل مفصل زانو خون جمع میشود که قابل لمس است. اگر کشکک به دو تکه جدا از هم تبدیل شده باشد میتوان شکاف بین دو تکه شکسته شده را از روی زانو لمس کرد .

3- تشخیص شکستگی کشکک:
رادیوگرافی مهمترین وسیله برای تشخیص این شکستگی است. بندرت در بعضی افراد ممکن است استخوان کشکک دو تکه ای باشد که نباید با شکستگی اشتباه شود. در اکثر این افراد اگر از زانوی مقابل هم رادیوگرافی به عمل آید این کشکک دو تکه ای دیده میشود .

4- درمان شکستگی استخوان کشکک:
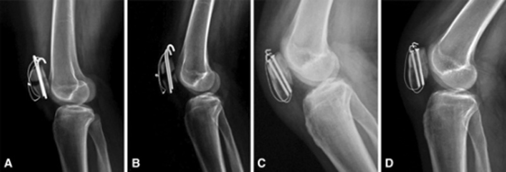
ممکن است با استفاده از روش های غیر جراحی و یا جراحی انجام شود .در صورتیکه قطعات شکسته شده بدون جابجایی باشند درمان غیر جراحی است. به این صورت که پزشک معالج ابتدا خون داخل زانو را با سرنگ خارج کرده و سپس با استفاده از گچ بلند اندام تحتانی، زانو را یک و نیم ماه در حالت راست و مستقیم نگه داشته تا استخوان های شکسته شده جوش بخورند. اما اگر قطعات شکسته شده از هم جدا شده باشند بیمار نیاز به عمل جراحی دارد به این معنی که پزشک در اطاق عمل پوست را برش میدهد و در زیر آن استخوان شکسته شده کشکک نمایان میشود. جراح سپس قطعات شکسته شده را با ابزارهای بخصوصی در کنار یکدیگر قرار داده و سپس به توسط پین و سیم های فولادی آنها را در کنار یکدیگر محکم میکند.

گاهی اوقات استخوان در محل اتصال به تاندون های بالا و یا پایین خود دچار شکستگی خرد شده و چند تکه میشود. در این حال ممکن است پزشک معالج تکه های خرد شده را پرت داده و تاندون را به قسمت باقیمانده کشکک متصل کند. گاهی وسط کشکک بشدت خرد شده است. در این حالات جراح ممکن است این قطعات ریز و خرد شده را پرت داده و دو قطعه بزرگ و عمده بالا و پایین را به یکدیگر متصل کند . بندرت در شکستگی های بسیار خرد شده کل کشکک، پزشک ارتوپد مجبور میشود تمام قطعات خرد شده یعنی تمام کشکک را پرت داده و تاندون های چهارسر در بالا را به تاندون کشکک در پایین متصل کند .
5- عوارض شکستگی کشکک
مهمترین آنها عبارتند از:
ü ساییدگی و آرتروز مفصل : شکستگی کشکک معمولا به غضروفی که در سطح پشتی آن است آسیب میزند. این آسیب میتواند در دراز مدت ایجاد سائیدگی مفصل زانو بکند بطوریکه حدود یک پنجم بیماران با شکستگی کشکک در دراز مدت دچار استئوآرتریت زانو میشوند .
ü ضعف عضله چهار سر : ضعف عضلات چهارسر ران هم از دیگر عوارض این شکستگی است. محدودیت حرکت زانو چه بصورت محدودیت در راست کردن و یا خم کردن زانو هم شایع است. البته این محدودیت ها معمولا آنقدر زیاد نیستند که ناتوان کننده باشند .
ü درد مزمن در جلو زانو : از دیگر عوارض این شکستگی ها بروز درد مزمن جلوی زانو است .

-