- تاریخ درج : ۱۲ اسفند ۱۳۹۵
- تعداد بازدید: 44938
- نویسنده : دکتر محسن مردانی کیوی
-
منبع :
gums
شکستگی استخوان ران:
استخوان ران (فمور) شامل سه بخش است:

الف) بخش سر و گردن که به مفصل لگن متصل میشود و در رابطه با شکستگی های آن در قسمت شکستگی های لگن صحبت شد
ب) بخش انتهای استخوان ران که به مفصل زانو متصل شده و در شکستگی های زانو به شرح آن خواهیم پرداخت
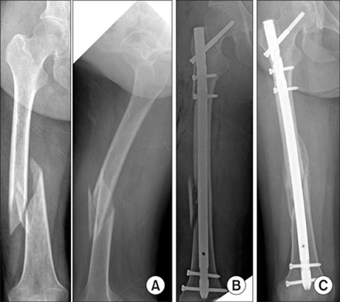
ج) بخش تنه ی استخوان (شفت فمور) که در اینجا به شرح شکستگی های آن می پردازیم:
1- علت شکستگی تنه ی استخوان ران: استخوان ران از محکم ترین استخوان های بدن است و شکستگی آن نیاز به وارد شدن نیروی زیادی دارد و معمولا این نیروها در حین سوانح جاده ای و سقوط از ارتفاع میتواند به بدن وارد شود. به همین خاطر بسیاری از این شکستگی ها ممکن است همراه با آسیب هایی به دیگر دستگاه های بدن همراه باشد. در بچه های با سن کمتر از سه سال شکستگی استخوان ران اغلب بدنبال کتک خوردن یا بدرفتاری با بچه ایجاد میشود .

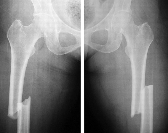
2- علایم شکستگی تنه ی استخوان ران: مهمترین علائم شکستگی تنه استخوان ران عبارتند از درد شدید ران که با فشار به محل شکستگی و یا حرکت دادن اندام تحتانی بیشتر میشود . ناتوانی در حرکت دادن اندام تحتانی، تغییر شکل اندام تحتانی بصورت کوتاه شدن و چرخش به بیرون و تورم ران از دیگر علائم شکستگی استخوان ران است. بعد از شکسته شدن استخوان، به علت انقباض عضلات قوی که در اطراف آن وجود دارد لبه های شکستگی از هم رد میشوند و اندام شکسته شده کوتاه تر میشود . گاهی اوقات لبه تیز قطعات شکسته شده عروق ناحیه ی ران را پاره کرده و موجب خونریزی شدید در ناحیه میشوند. نتیجه آن از دست دادن مقادیر زیادی خون در داخل بافت عضلانی ران و تورم و کبودی شدید ران است .

3- تشخیص شکستگی تنه ی استخوان ران: تشخیص قطعی این شکستگی با استفاده از رادیوگرافی ساده داده میشود . باید حتما دقت کرد که مفاصل زانو و لگن در رادیوگرافی دیده شوند. در شکستگی های ران باید با دیدن مفصل ران حتما از عدم وجود در رفتگی مفصل لگن مطمئن شد.
4- درمان شکستگی تنه ی استخوان ران: امروزه تقریبا تمامی شکستگی های ران بالغین با عمل جراحی درمان میشوند. روش کار بدین صورت است که ابتدا شکستگی ران بصورت بسته جااندازی میشود (با استفاده از کشش و مانورهای مخصوصی سعی میشود شکستگی بصورت بسته جااندازی شود. این جااندازی در اطاق عمل انجام شده و پزشک جراح مراحل جااندازی را با استفاده از رادیوگرافی بخصوصی که تصاویر آن مستقیما بر روی مانیتور قابل دیدن است - فلوروسکوپی- کنترل میکند). سپس از راه شکاف های کوچکی که در پوست داده میشود میله داخل استخوانی یا پلاک یا اکسترنال فیکساتور به استخوان متصل شده و آنرا فیکس میکند. به این روش جااندازی بسته و فیکساسیون داخلی یا خارجی میگویند. در صورتیکه جااندازی بسته امکانپذیر نشود پزشک جراح از جااندازی باز استفاده کرده و سپس با روش های پلاک گذاری یا میله گذاری اینترامدولاری شکستگی را فیکس و بی حرکت میکند.

5- عوارض شکستگی تنه ی استخوان ران: عوارض این شکستگی به دو دسته عوارض زودرس و دیررس تقسیم میشوند . عوارض زودرس مانند خونریزی (که گاهی به 2-1 لیتر نیز میرسد و ممکن است موجب بروز شوک هموراژیک در بیمار شود)، پارگی عروق مجاور، آمبولی. عوارض دیررس مانند جوش نخوردن (نان یونیون)، دیر جوش خوردن، بد جوش خوردن (مال یونیون)، محدودیت حرکتی مفصل زانو.

-