- تاریخ درج : ۱۰ اسفند ۱۳۹۵
- تعداد بازدید: 291419
- نویسنده : دکتر محسن مردانی کیوی
-
برای اینکه بدانید درمان شکستگی دست شما به چه ترتیب است ابتدا باید بدانید که این شکستگی در کدام بخش اتفاق افتاده است و چه علایمی دارد. نسبت به محل شکستگی، درمان متفاوت است. بخش های مختلف مفصل دست که در سوانح دچار شکستگی می شوند در تصویر زیر نشان داده شده اند. در اینجا شکستگی در هر بخش را به اختصار شرح میدهیم:
1-بخش انتهایی استخوان های زند زبرین و زیرین
2 -هشت استخوان کوچک مفصل مچ دست
3-استخوانهای کف دست (متاکارپ ها)
4-بندهای انگشتان
1- شکستگی انتهای استخوان های زند زبرین و زیرین :
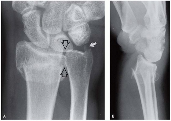
1-1: مقدمه: به شکستگی انتهای پایینی استخوان رادیوس شکستگی کالیس می گویند که از شایعترین شکستگی های انسان بوده و نام آن از نام آقای آبراهام کالیس که آنرا شرح داده، برگرفته شده است. این شکستگی شایعترین شکستگی در افراد بالای 40 سال بخصوص خانم ها است و ارتباط بسیار نزدیکی بین این شکستگی و پوکی استخوان وجود دارد. همراه با شکستگی انتهای تحتانی استخوان زند زبرین معمولا انتهای تحتانی زند زیرین هم شکسته می شود.

1-2: علت شکستگی انتهای ساعد: مکانیسم ایجاد آن زمین خوردن در حالتی است که فرد دست را حائل قرار داده و با کف دست به زمین میخورد.

3-1: علایم شکستگی انتهای ساعد: بدنبال شکستگی مچ دست بسیار دردناک و متورم میشود. حرکات مچ محدود و همراه درد بوده، فشار به ناحیه شکسته شده موجب افزایش شدت درد میشود. در شکستگی های با جابجایی زیاد ظاهر مچ دست کاملا تغییر شکل میدهد. جابجایی قطعه شکسته شده به سمت پشت و بیرون موجب میشود تغییر شکل خاصی در ظاهر مچ دست شکسته شده ایجاد شده و به شکل چنگال درآید . گاهی اوقات جابجایی قطعه شکسته شده برعکس بوده و به سمت جلو جابجا میشود که به آن شکستگی اسمیت (Smith fracture ) می گویند.

1-4: تشخیص شکستگی انتهای ساعد: تشخیص قطعی این شکستگی با رادیوگرافی ساده است. در رادیوگرافی ساده خط شکستگی بالای سطح مفصل مچ دست دیده میشود. قطعه بین خط شکستگی و مفصل مچ دست به سمت پشت و خارج جابجا میشود. گاهی این قطعه شکسته شده خرد بوده و گاهی خط شکستگی به درون مفصل مچ هم راه پیدا میکند .

1-5: در برخورد با شکستگی انتهای ساعد چه اقداماتی باید انچام داد؟
در قدم اول از حرکت دادن اندام خودداری کنید. سپس با استفاده از یک خط کش چوبی و باند می توانید آتل درست کرده و ساعد را با آن بی حرکت نمایید. کمپرس سرد روی موضع قرار دهید و دست را از گردن با استفاده از یک پارچه ی مثلثی شکل آویزان نمایید. سپس به نزدیک ترین مرکز درمانی مراجعه کنید.

1-6: درمان شکستگی انتهای ساعد: در مواردی که شکستگی بدون جابجایی است مسلما نیازی به جااندازی هم ندارد و درمان با گچ گیری انجام میشود. در مواردیکه شکستگی دچار جابجایی شده است درمان بصورت جااندازی بسته، استفاده از پین برای فیکس کردن قطعات شکسته و سپس بیحرکت کردن محل شکستگی توسط گچ گیری از کف دست تا بالای بازو است. در مواردی که درمان بصورت جااندازی بسته کارساز نباشد جااندازی با جراحی باز صورت میگیرد و قطعات شکسته را کنار هم قرار داده و پس از آن بوسیله پیچ و پلاک فیکس می شوند.

2 -شکستگی هشت استخوان کوچک مچ دست:
2-1: مقدمه: مچ دست از 8 استخوان کوچک تشکیل شده است که هریک می توانند در سوانح دچار شکستگی شوند اما شایع ترین استخوانی که در حوادث دچار شکستگی می شود استخوان اسکافوئید است. محل این استخوان، در محل اتصال مچ دست به ساعد و در قاعده شست دست است . با توجه به اهمیت این استخوان و شیوع بالای شکستگی آن، در این بخش به بررسی علایم و عوارض و درمان این شکستگی می پردازیم. سایر استخوانهای کوچک مچ دست نیز با همین روش درمان می شوند.

2-2: علت شکستگی اسکافوئید: شایع ترین علت برای این شکستگی، زمین خوردن بر روی کف دست است، در حالی که مچ دست به سمت بالا خم شده باشد .

2-3: علایم شکستگی اسکافوئید: بیمار از درد مچ دست شاکی است و این محل متورم شده و حرکات مچ دست هم دچار محدودیت می شود. درد در نقطه ای از مچ دست که به آن انفیه دان تشریحی می گویند شدیدتر از سایر بخش های مچ دست است.

از سوی دیگر گاه ممکن است درد مچ بیمار کم بوده و بتواند فعالیت های روزمره خود را با کمی درد ادامه دهد و درد را به حساب رگ به رگ شدن گذاشته و به پزشک مراجعه نمی کند. حتی در بسیاری اوقات بعد از رادیوگرافی هم ممکن است تشخیص شکستگی داده نشود و به نظر برسد استخوان سالم است.علت این وضعیت، شکل خاص این استخوان است که تشخیص شکستگی را در آن مشکل می کند.
4-2: تشخیص و درمان شکستگی اسکافوئید: معاینه و تصویر برداری رادیوگرافیک اقدام اول است. در مواردی که شکستگی همراه با جابجایی باشد درمان آن بصورت جااندازی و استفاده از پیچ برای بیحرکت کردن قطعات شکسته شده است.

در این موارد جااندازی شکستگی ممکن است بصورت بسته یا باز باشد. گاهی اوقات حتی با وجود شکسته بودن استخوان، این شکستگی در رادیوگرافی قابل مشاهده نیست. بنابراین در مواردی که پزشک معالج مشکوک به این شکستگی بوده ولی در رادیوگرافی نکته غیر طبیعی دیده نمی شود، دست بیمار از کف دست تا آرنج (گچ اسپایکای شست) گچ گرفته می شود و پس از دو هفته گچ خارج شده و مجددا از ناحیه مچ دست عکس برداری می شود. اگر شکستگی واقعا وجود داشته، ولی در رادیوگرافی اولیه دیده نشود، در رادیوگرافی که بعد از دو هفته تهیه میشود قابل مشاهده است.راه دیگر این است که در همان روز معاینه اولیه که رادیوگرافی ساده شکستگی را نشان نداده است از بیمار ام آر آی و یا اسکن رادیوایزوتوپ به عمل آید. این دو روش تصویربرداری می توانند با حساسیت بیشتری شکستگی را کشف کرده و نشان دهند .

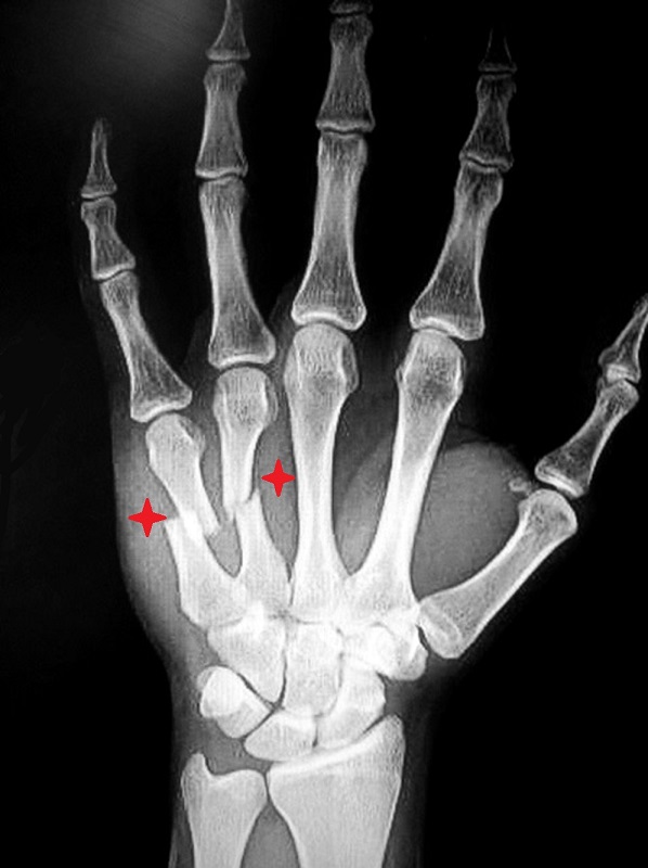
3 -شکستگی استخوان های کف دست (متاکارپ ها):
3-1: مقدمه: هر انگشت دست از طریق یک استخوان متاکارپ به مچ دست متصل میشود که شکستگی های این پنج استخوان در کف دست شایع بوده و در همه سنین دیده میشوند. این استخوان ها به شکل مدادهای کوتاهی هستند. قسمتی از این استخوان ها که با انگشت مفصل میشود برجسته و گرد شده است. به این قسمت سر استخوان متاکارپ میگویند. وسط استخوان متاکارپ را تنه آن مینامند و بین سر و تنه را گردن استخوان متاکارپ نامگذاری کرده اند.

2-3: مکانیسم شکستگی متاکارپ ها: شایعترین علت این شکستگی ها زمین خوردن یا ضربه مستقیم به پشت دست یا مشت زدن است. این شکستگی ها معمولا عرضی و بدون جابجایی هستند ولی ممکن است مایل یا مارپیچی بوده و یا با جابجایی همراه باشند.

3-3: علائم وتشخیص شکستگی متاکارپ های کف دست: بدنبال شکستگی پشت دست متورم و دردناک شده و فشار به محل شکسته شده شدت درد را افزایش میدهد. پوست روی استخوان شکسته ممکن است کبود شود. مشت کردن دست معمولا شدت درد را افزایش میدهد. تشخیص این شکستگی ها با رادیوگرافی ساده است.

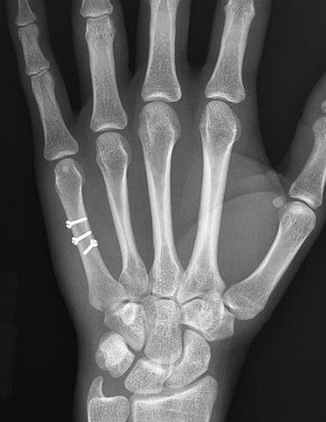
3-4 : درمان شکستگی های متاکارپ: در شکستگی های بدون جابجایی یا با جابجایی اندک، تنها درمان مورد نیاز استفاده از یک آتل برای بیحرکت کردن محل شکستگی و کاهش درد است. در مواردیکه جابجایی قطعات شکسته شده زیاد باشد درمان بصورت جااندازی بسته و گچ گیری است. در مواردی که شکستگی بعد از جااندازی ناپایدار باشد پزشک معالج با استفاده از پین های فلزی که آنها را از طریق پوست به داخل استخوان و محل شکستگی هدایت میکند، قطعات شکسته شده را به یکدیگر متصل میکند. در مواردی که جااندازی بسته موفقیت آمیز نباشد پزشک معالج اقدام به جااندازی باز شکستگی و فیکس کردن قطعات شکسته شده بوسیله پین یا پیچ و پلاک میکند.

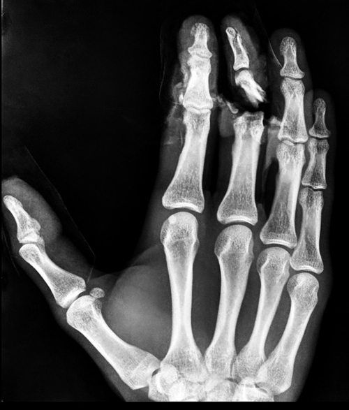
4 -شکستگی بندهای انگشتان:
4-1: مقدمه: شکستگی میتواند در هر کدام از سه بند انگشت ایجاد شود. هر انگشت سه مفصل دارد (البته بجز انگشت شست که دو بند دارد) و خط شکستگی در هر کدام از این مفاصل وارد شود مهم و خطرناک است. این شکستگی ها باید بسیار به دقت جااندازی شوند تا بدون جابجایی جوش بخورند وگرنه در صورت بدجوش خوردن میتوانند در دراز مدت موجب ساییدگی مفاصل شوند.

2-4: علایم شکستگی انگشتان و تشخیص آنها: دردی که با حرکت انگشت بدتر میشود. فشار دادن محل شکستگی درد را بیشتر میکند. همراه با درد، تورم انگشت، خونمردگی، عدم توانایی در حرکت دادن انگشت، کوتاه شدن و یا تغییر شکل انگشت میتواند از علائم دیگر شکستگی انگشت باشد. تشخیص قطعی با تصویربرداری رادیوگرافی است.
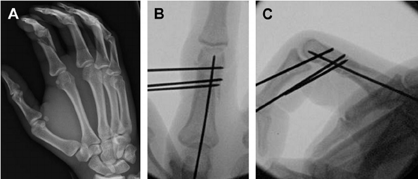
4-3: درمان شکستگی انگشتان: در موارد بروز این شکستگی ها، انتخاب نوع درمان به توسط پزشک و با در نظر گرفتن محل شکستگی، شکل شکستگی، شدت شکستگی، جابجا بودن یا نبودن آن و متغیرهای دیگر است. بسیاری از شکستگی های انگشت دست بدون جابجایی هستند. تنها درمان این شکستگی ها بستن انگشت شکسته شده به انگشت مجاور با یک چسب است.

اگر شکستگی همراه با جابجایی باشد پزشک معالج آنرا جااندازی کرده و در صورت پایدار بودن شکستگی، ممکن است گچ گیری انجام شود و مدت سه هفته طول بکشد. گاهی اوقات بعد از جااندازی بسته شکستگی پایدار نیست و قطعات شکسته شده مجددا جابجا میشوند که در این موارد قطعات شکسته با کمک پین های فلزی کنار هم تثبیت می گردند.

گاهی اوقات بند انتهایی انگشت ممکن است بدنبال اصابت جسم سخت مانند ضربه چکش یا گیر کردن انگشت لای در، خرد شود. در این موارد معمولا پوست انگشت زخمی میشود و یا ممکن است زیر ناخن خونریزی کرده و کبود شود و یا حتی ممکن است ناخن از بستر خود کنده شود. این شکستگی ها نیازی به بستن ندارند و خودبخود جوش میخورند. درمان در این موارد باید بیشتر معطوف به وضعیت آسیب پوست و بستر ناخن باشد . در مواردی که شکستگی انگشتان با عوارض عصبی و عروقی همراه باشد جراحی ضرورت می یابد. درصورت آسیب عروقی همراه، احساس سرد در نوک انگشتان خواهیدداشت و درصورت آسیب عصبی همراه، حس یا حرکت انگشت مختل می شود.
-